Share Important Moment of MileCell Bio with You
2026.03.30
Renal Proximal Tubular Epithelial Cells (RPTECs) are specialized cells lining the nephron's proximal tubule, crucial for kidney function. They form a selective barrier and are primarily responsible for the reabsorption of water, ions, and vital nutrients from the glomerular filtrate. These cells also actively secrete organic wastes and drugs, a process driven by specialized transport proteins. Due to these core functions, RPTECs are indispensable in vitro models for studying drug-induced nephrotoxicity, renal transport mechanisms, and the pathophysiology of acute kidney injury and other renal diseases. We provide high-quality, culture-ready animal RPTECs to support reliable in vitro nephrotoxicity and renal transport studies.
l Guaranteed High Post-Thaw Viability (≥80%)
l Expandable & Culture-Ready Cells
l Customizable: Multiple Species & Sizes

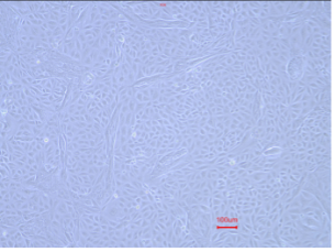
P2

P3

P4

P5
Figure 1: Cyno RPTECs maintained a stable epithelial morphology through early passages (P2-P5). The cells grew as a monolayer with a characteristic cobblestone appearance, distinct cell borders, and visible intercellular connections. Across these passages, the cells demonstrated robust morphological stability without noticeable changes.

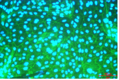
Immunolocalization of β-catenin

Immunolocalization of CK18
Figure 2: Overlaid fluorescent images of Cyno RPTECs (P2). Cells were cultured for two days and then subjected to immunofluorescence staining. The cells were labeled with specific biomarkers to visualize the expression and localization of β-catenin (green, left) at adherens junctions and cytokeratin 18 (CK18, green, right) in the cytoplasm. The nuclei were counterstained with DAPI (blue).
Cat. No. | Product Description | Size |
BM502-05 | Bama Minipig Renal Proximal Tubular Epithelial Cells | 0.5 million |
CY502-05 | Cynomolgus Monkey Renal Proximal Tubular Epithelial Cells | 0.5 million |
RM502-05 | Rhesus Monkey Renal Proximal Tubular Epithelial Cells | 0.5 million |
BD502-05 | Beagle Dog Renal Proximal Tubular Epithelial Cells | 0.5 million |